
Nicht jeder weiß, was Arthrose ist, dadurch werden Menschen in Behandlungsmethoden verwirrt und verstehen die Prinzipien der Diagnose der Pathologie nicht. Arthrose ist eine schwere dystrophische Verletzung, die die Läsion von Knorpelgeweben in der intraartikulären Höhle hervorruft. Die Komplexität der Therapie ist mit der Irreversibilität von Prozessen verbunden, eine vollständige Heilung im Rahmen der modernen Medizin kann nicht erreicht werden, aber die Schwere der Symptome kann verringert und das Fortschreiten der Pathologie verlangsamt werden. Bei der richtigen Behandlung setzt eine Person den üblichen Lebensstil für lange Zeit fort.
Was ist Arthrose?
In ähnlicher Weise ist es einfacher, dass für die Krankheit Arthrose eine Krankheit der Gelenke ist, die die Einschränkung der Amplitude von Bewegung und Schmerzen hervorruft. In der ersten Phase des Schadens gibt es keine Manifestationen, haben leichte Schwere und werden abgewaschen. Allmählich wird die Pathologie fortschreitet, dies wird durch Altersänderungen im Körper, Stress, Verletzungen usw. gemäß Statistiken erleichtert, etwa 80% der Bevölkerung über 60 Jahre aus Arthrosis.
Die Arthrose des Gelenks entwickelt sich für lange Zeit, wirkt sich zunächst nur den Hyalinknorpel aus und verbreitet sich dann auf die Knochen, beinhaltet die Synovialschale, die Muskeln und die gesamte Gelenkkapsel. Im ersten oder frühen Stadium der Arthrose manifestiert sich die Läsion leicht: kleine Schmerzen nach harter Arbeit, Schwellung, Rötung der Haut. Aufgrund der Ignorierung unangenehme Empfindungen ist das Gelenk deformiert, entzündet und bringt starke Schmerzen, ihr Höhepunkt fällt am Morgen. Die Krankheit ist durch das Verschwinden von Schmerzen nach der Entwicklung des Gelenks gekennzeichnet. Wenn nicht behandelt, verliert eine Person die Mobilität des Gelenks vollständig.

Es gibt eine primäre und sekundäre Form der Arthrose. Es wird auch Pseudoarthrose (Neoartrose) unterschieden- nicht viele Menschen wissen, was sie ist, da sie seltener als andere Sorten gebildet wird. Neoarthrose ist ein falsches Gelenk, daher nimmt das Knorpelgewebe an einem ungewöhnlichen Ort zu, an dem Schäden erhalten wurden. Es ist schwer zu behandeln, hauptsächlich chirurgisch.
Es gibt eine Pathologie aufgrund von Störungen der regenerativen Funktion, Immunität oder mechanischer Schädigung. Aufgrund verschiedener Knorpelursachen wird es dünner. In normalem Zustand erhält das Knorpelgewebe eine ausreichende Ernährung für die Genesung, aber nach übermäßiger körperlicher Anstrengung oder aufgrund eines Verstoßes gegen Stoffwechselprozesse haben die Stoffe keine Zeit, sich zu regenerieren. In der ersten Phase bleibt die gemeinsame Mobilität. Nachdem sie überlegt hat, welche Arthrose eine Definition ist, lohnt es sich, die Entwicklung der Pathologie ausführlicher zu vertiefen.
Der Entwicklungsmechanismus der Arthrose, seine Typen
Viele Arthrosesorten entwickeln sich nach einem ähnlichen Schema:
- Die primäre Läsion beeinflusst den hyalinen Knorpel. Bei Kreislaufstörungen tritt eine Verschlechterung der pathologischen Kraft auf. Es ist der erste Schritt oder die erste Ursache, die Arthrose auftreten kann.
- Hyalin -Beschichtungspathologien. Die Ausdünnung des Knorpels führt zum Ersatz seiner pathologischen Gewebe - Knochenstrukturen.
- Anomale Wachstum erscheinen auf Knorpel - Osteophyten.
- Die auftretende Verletzung der natürlichen Anatomie des Knorpels und der Knochen führt zu der Überlastung gesunder Knorpelbereiche. Die Zerstörung von Gelenkgeweben ohne Behandlung führt ständig voran und führt zu Behinderungen.
Wenn der Krankheitsgrad zunimmt, sind pathologische Prozesse immer noch verschlimmert. Am Ende wird der gesamte Hyalinknorpel zerstört.
Der letzte Grad der Krankheit führt zu:
- Beteiligung am pathologischen Knochenprozess unter und über den knorpeligen Oberflächen;
- Reizung einer Gelenkschale, begrenzte Mobilität, die zu einer Behinderung von 2 Grad führt;
- erhöhte Kapseldichte;
- Reduzierung der Lücke in der Lücke des Gelenks, die auf dem Bild spürbar wird. Das Stadium des Verstoßes wird vom diagnostischen Tantgenologen bestimmt. Der Patient spürt die Komplexität oder Unfähigkeit, das Glied vollständig zu begradigen und zu biegen.
- Gelenkverformung, Knorpel erhält eine unregelmäßige Form, die Krümmung provoziert;
- Verschlechterung im Zustand des Patienten mit vollständiger Zerstörung des Gelenks.
Arthrosestadien
Gelenkkrankheiten haben 3 Entwicklungsstufen:

- 1 Grad. Morphologische Störungen haben bereits begonnen, sind aber noch nicht auffällig. Die Pathologie beeinflusst hauptsächlich den Zustand der Synovialflüssigkeit, die schlechtere Knorpelgewebe mit Nährstoffkomponenten liefert und die Stärke des Knorpels verringert. Die Belastung der Gelenke führt zu Entzündungen und Schmerzen.
- Stufe 2. Aufgrund des Versorgungsmangels werden die notwendigen Patronen zerstört. Auf der Oberfläche des Knorpels werden Knochenwachstum gebildet. Die Schmerzen erwerben einen ausgeprägteren Charakter, verstärken sich nach einer langen Pause und werden durch kleine körperliche Arbeit beseitigt. Schmerzen werden von Entzündungen begleitet. Die Muskeln sind gedehnt, was zu schwachen oder durchschnittlichen Beeinträchtigungen der Motorfunktionen führt.
- 3 Grad. Oft gibt es Schmerzen, es ist schwierig, das Glied aufgrund von Veränderungen im Gelenk zu bewegen. Die Läsionen sind umfangreich und werden für den nackten Look spürbar. Die Verformung der Gelenkstelle tritt auf, der betroffene Bereich schwillt an und wird rot. Die Gliedmaßenachse ist gestört, was zur Komplexität der Bewegung führt. Pathologische Veränderungen produzieren die Bänder. Subluishes und Kontrakturen erscheinen. Die angrenzenden Muskeln werden verkürzt oder gestreckt, aus denen die kontraktile Funktion geschwächt wird.
Ursachen und Risikofaktoren für die Entwicklung von Arthrose
Die Ursachen der Arthrose der Gelenke unterscheiden sich in Abhängigkeit von der Form der Pathologie. Die Verformung der Arthrose des Ellbogengelenks, des Knöchelgelenks und der Schulterarthrose entwickelt sich manchmal ohne merkliche Ursachen. Es ist möglich, sie mit einem Arzt, einem Spezialisten für Rheumatologie, zu erkennen. Wenn dem Problem nicht sichtbare Pathologien vorausging, wird die Krankheit als primär bezeichnet. Die sekundäre Form des Verstoßes wird hauptsächlich diagnostiziert und kann verschiedene Staaten provozieren.
Die Hauptgründe für die Entwicklung:
- Mechanische Schäden: Versetzungen, Brüche, Dehnung, Meniskusverletzungen;
- eine Reihe endokriner Störungen im Zusammenhang mit Fehlfunktionen in der Arbeit der Immunität;
- Stoffwechsel Pathologien;
- Dysplasie (angeborene Anomalien von Gelenkgeweben);
- erlitt Entzündung der Gelenke;
- Pathologien, die zu einer hohen Mobilität der Gelenke und der Schwächung der Bänder führen.
Patienten mit Arthrose stießen am häufigsten aufgrund von prädisponierenden Faktoren auf eine Krankheit:
- Altersbezogene Veränderungen;
- Leichtes Gewicht und erhöhter BMI. Hohe Last auf der Gelenk führt zu einem schnellen Gelenkverschleiß;
- Mangel an vorteilhaften Substanzen;
- Übermäßige Belastung der Fugen. Der Grund ist ein intensives Training, Sport, harte körperliche Arbeit;
- Schwierige Arbeitsbedingungen oder ein falscher Ansatz für Sport. Wenn es eine genetische Tendenz zur Beschädigung, Gelenkverletzungen oder ähnlichen Krankheiten gibt, ist es wichtig, ein spezielles Trainingsprogramm zu halten und traumatische und schwierige Übungen zu vermeiden.
- Die postoperative Erholungsperiode oder übertragene komplexe Operationen im Zusammenhang mit der Exzision eines großen Anteils betroffener Stoffe. Solche Zustände beeinflussen negativ die Glätte und Stärke des Knorpels, die Last sollte auf sie minimiert werden.
- Genetische Tendenz, Arthrose wird bei Patienten mit Verwandten mit derselben Pathologie häufiger diagnostiziert.
- Das Stadium der Postmenopause, die seit etwa 50 Jahren bei Frauen stattfindet, ist mit Veränderungen im endokrinen System verbunden.
- die zerstörerische Wirkung von Toxinen;
- schlechte Umweltsituation in der Region des Wohnsitzes;
- Häufige Schäden an der Verbindung, manchmal erscheinen Mikrorisse lange nicht.
- Unterkühlung;
- Pathologie des Lenden- und Gebärmutterhalsteils der Wirbelsäule.
Primäre Arthrose

Eine primäre Arthrose wird unabhängig gebildet, dh ohne den Einfluss von internen oder externen Ursachen. Die Niederlage entwickelt sich ziemlich langsam durch den Hyalinknorpel. Es wird selten diagnostiziert, es macht nur 3-5% aller Fälle aus.
Sekundärarthrose
Sekundäre Arthrose wird am häufigsten in einer Ordnung von 95-96% der Fälle festgestellt. Sie werden von einer der oben genannten Pathologien provoziert.
Anzeichen und Symptome von Arthrose
Die Manifestationen der Krankheit unterscheiden sich in Abhängigkeit von der Lokalisierung kaum, häufiger spiegeln sich die Zeichen auf den Knie-, Schulter- und Hüftfugen aufgrund einer hohen Belastung wider.
Meistens Beschwerden kommen auf:
- Schmerz. Sie haben in der Anfangsphase eine geringe Schwere, wobei sich der Empfindungszustand verschärft. Zunächst weh der Gelenke erst nach dem Aufwachen, nachdem ein leichtes warmes UP verschwunden war. Im Laufe der Zeit erscheinen die Schmerzen nachts, sie stören während und nach längerem Gehen, Laufen usw. Im letzten Stadium verfolgt das Schmerzsyndrom die ganze Zeit eine Person;
- begrenzte Amplitude von Bewegungen. Die Steifheit der Wirkungen zeigt anatomische Veränderungen in der Struktur an. Zuerst manifestiert es sich am Morgen, dann sind die täglichen Bewegungen begrenzt. Um die Erkrankung nicht zu verschärfen, muss die Arbeit vielfältig und leicht sein, sonst kann der Patient das Glied im Laufe der Zeit nicht entschlüsseln und drücken. Im Laufe der Zeit besteht das Risiko eines Vertrages, aus dem eine Person die motorische Fähigkeit verliert.
- Krone bei Bewegungen - sie gehört zu den unspezifischen Manifestationen der Arthrose. Die Krankheit ist durch das Auftreten von Crunch in einem einzigen Gelenk (mit Ausnahme von Polyarthrose) gekennzeichnet, begleitet von Beschwerden, Schmerzen und begrenzten Wirkungen. Die Natur des Stroms ist wellenartig - zunächst manifestiert sich schwach, verstärkt sich allmählich, aber in 3 Stadien verschwindet;
- Schwellung mit Rötung. Es ist in der Nähe des erkrankten Gelenks lokalisiert. Dies weist auf einen entzündlichen Prozess und ein Fortschreiten der Krankheit hin. Der Arzt versteht, dass die Synovialschale betroffen ist und die Ansammlung von Flüssigkeit und erhöhten Schmerzen hervorruft.
Gliedmaßenverformungen. Erscheint in einer vernachlässigten Form der Krankheit, weist die vollständige Zerstörung von Knorpelgewebe und das Auftreten von Osteophyten an. In diesem Zustand steigt der Druck auf die Gelenke oben und unterhalb, aus denen die Krümmung das gesamte Glied beeinflussen kann.
Es ist wichtig, sich daran zu erinnern, dass die Verformung der Knochen am Bein oft mit dem Mais verwechselt wird. Das Symptom ist nur auf den ersten Blick schlecht gefährlich, führt jedoch zu schwerwiegenden Folgen.
Komplikationen
Zunächst werden konservative Therapiemethoden zur Behandlung eingesetzt. Wenn sie ineffektiv sind oder der Patient die Empfehlungen des Arztes ignoriert, besteht das Risiko von Folgen.
Mögliche Komplikationen:
- Das Gelenk wird vollständig zerstört;
- Das Glied ist immobilisiert, alle Bewegungen werden extrem schwierig;
- Zwischenwirbelhernien;
- Behinderung;
- Starke Verformung des Gelenks oder des gesamten Gliedes.
Diagnose von Arthrose
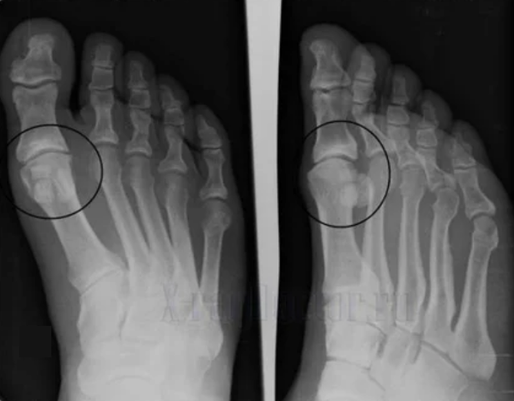
Um eine Diagnose zu stellen, untersuchen Rheumatologen die Beschwerden des Patienten und verschreiben eine X -Ray -Untersuchung. Meistens wird die Radiographie in 2 Projektionen verwendet. Der Arzt untersucht das Vorhandensein dystrophischer Störungen bei hyalinen Knorpel- und Knochenfugen. Wenn die Gelenkspalt verringert ist, sind die Knochen deformiert oder abgeflacht, es gibt zystische Formationen auf der Oberfläche des Knorpels, Osteophyten sind offensichtliche Anzeichen von Arthrose. Während der Inspektion zeigt die Arthrose die Instabilität des Gelenks an: Die Achse der Gliedmaßen und Subluxation wird gestört.

Oft ist ein X -Ray -Bild nicht in der Lage, vollständige Informationen über den Zustand des Gelenks zu geben. Für eine gründlichere Studie wird die Computertomographie verschrieben, und es ist wirksam, Knochen zu untersuchen. MRT wird häufiger zum Untersuchung von Weichgeweben verwendet.
Während der Diagnose wird die Beteiligung anderer Spezialisten praktiziert, die dazu beitragen, die Grundursache der Pathologie zu bestimmen. Greifen Sie häufig auf die Konsultation eines Hämatologen, Endokrinologen, Gynäkologen, Orthopädie zurück.
Moderne Behandlung
Es gibt Hunderte von Arthrosis -Therapie, aber alle sind auf eine Reihe von Methoden zurückzuführen:
- Drogenbehandlung. Die Hauptaufgabe besteht darin, die Symptome zu bekämpfen und die Weiterentwicklung eines Verstoßes zu verhindern. In den meisten Fällen werden Analgetika verwendet, um Schmerzen zu lindern, nicht -steroide entzündungshemmende Medikamente zur Bekämpfung von Entzündungen, hormonelle Medikamente für starke Schmerzen und akute Entzündungen. Jeder Kurs basiert auf Chondroprotektoren, die Knorpelgewebe vor Zerstörung schützen. Natürliche Substanzen werden für ihre Herstellung verwendet.
- Physiotherapie. Verbessert die Wirksamkeit von Arzneimitteln, kämpft mit Entzündungen, lindert Symptome, beschleunigt die Regeneration der Gewebe. Am häufigsten verwendete Ultraschall, elektrische, magnetische Lasertherapie. Dies umfasst auch Schlammbäder, Anwendungen mit natürlichen Materialien, Radonbädern;
- Medizinische Sportunterricht. Es ist sowohl als Vorbeugung als auch als Erleichterung des Zustands nützlich. Nach den richtigen körperlichen Übungen ist es möglich, den Schmerz vollständig zu beseitigen. Es ist nützlich, den Pool zu besuchen, sich mit Yoga zu beschäftigen und oft zu gehen.
- Manuelle Therapie, Massage hilft bei der Behandlung der Krankheit, da sie zur Vorbeugung der Krümmung der Gelenke beitragen. Nach Verletzungen ist der manuelle Therapeut in der Lage, das Gelenk auszusetzen und seine Fixierung in der falschen Position zu verhindern. Nach der Massage wird der Muskeltonus verbessert, die Durchblutung wird beschleunigt.
- Richtige Ernährung. Eine gesunde Ernährung hilft, den Körper mit Nährstoffen für Knorpel zu bereichern und das Körpergewicht zu verringern. Eine große Masse erhöht den Verschleiß der Gelenke;
- Die Behandlung von Sanatorium-Resort wird die Gelenke stärken. Im Rahmen der Heilung werden Sanatorien Balneotherapie, Trainingstherapie, physiotherapeutische Verfahren usw. Angeboten;
- Nicht -traditionelle Therapie. Zur Behandlung von Arthrose, Hütten, Naturo-, Aph- und Kräutermedizin sowie Akupunktur und verschiedene Volksrezepte werden verwendet;
- Die chirurgische Intervention ist die einzige Möglichkeit, in der dritten Stufe der Krankheit in das übliche Leben zurückzukehren. Mit der Endoprosthetik können Sie den Patientenknorpel durch das Implantat ersetzen. Der einzige Nachteil des Betriebs sind die hohen Kosten. Ein Verfahren reicht für 15 bis 20 Jahre aus.
Vorbeugende Maßnahmen
Damit sich die Arthrose des Gelenks im Alter nicht stört, steht:
- einen gesunden Lebensstil aufrechterhalten;
- starke Lasten verhindern;
- eine Diät beobachten;
- schlechte Gewohnheiten ausschließen;
- Täglich Gymnastik durchführen;
- Folgen Sie dem Gewicht.
Arthrose ist eine gefährliche Krankheit, die viel einfacher zu verhindern ist als Heilung. Mit der rechtzeitigen Suche nach einem Arzt und der Einhaltung der Behandlungsregeln kann der Patient lange Zeit einen vertrauten Lebensstil aufrechterhalten. Der Mangel an Therapie und Self -Medication provoziert die schnelle Verschlechterung der Krankheit und letztendlich Behinderung.























